ASDENT-GRUCA Centrum ortodoncji i stomatologii
Lokalizacja
Ladowanie mapy...
Szwedzka 1C, 54-401 Wrocław, Polska
O firmie
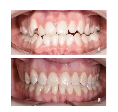
### ASDENT-GRUCA Centrum ortodoncji i stomatologii we Wrocławiu W sercu Wrocławia, przy ulicy Szwedzkiej 1C, znajduje się ASDENT-GRUCA – centrum specjalizujące się w ortodoncji i stomatologii. Gabinet, zlokalizowany w dogodnym miejscu blisko lotniska, oferuje kompleksowe leczenie zgryzu, aparaty stałe i ruchome, a także zabiegi stomatologiczne, w tym leczenie kanałowe pod mikroskopem czy implanty. Zespół pod kierunkiem dr. Tomasza Grucy, ortodonty z wieloletnim doświadczeniem, oraz dr. Łukasza Mroczkowskiego, stomatologa, obsługuje pacjentów w różnym wieku. Klinika cieszy się oceną 4.0/5 w Google na podstawie 107 opinii, co odzwierciedla mieszane, lecz w większości pozytywne doświadczenia klientów. Pacjenci często chwalą profesjonalizm lekarzy i przyjazną atmosferę. Dr Gruca jest doceniany za skuteczne leczenie skomplikowanych wad zgryzu, naprawy błędów po poprzednich terapiach oraz klarowne plany leczenia z przewidywalnymi kosztami. Wizyty u dr. Mroczkowskiego wyróżniają się spokojem i dokładnością w zabiegach, jak wybielanie czy wymiana koron. Personel, w tym asystentki takie jak panie Monika, Edyta czy Agnieszka, zapewnia komfort, dbając o higienę i indywidualne podejście – wielu podkreśla, że stres znika dzięki miłym rozmowom i precyzji. Efekty leczenia, jak prosty uśmiech po 1-3 latach, motywują do poleceń. Choć pojawiają się głosy krytyki, np. dotyczące tempa wizyt czy pojedynczych błędów w diagnostyce, większość recenzji wskazuje na satysfakcję z rezultatów i organizacji. ASDENT-GRUCA to miejsce dla tych, którzy szukają solidnej opieki ortodontycznej we Wrocławiu. (Słowa: 248)
Co mowia klienci
“Opinie o gabinecie ASDENT-GRUCA są w większości bardzo pozytywne (głównie 5/5), chwalące profesjonalizm lekarzy, zwłaszcza dr. Grucę w ortodoncji i dr. Mroczkowskiego w stomatologii. Pacjenci podkreślają doskonałe efekty leczenia, przyjazną atmosferę i naprawę błędów po innych specjalistach. Pojawiają się jednak pojedyncze negatywne głosy dotyczące trwałości zabiegów stomatologicznych i organizacji wizyt.”
Mocne strony
- Profesjonalizm i zaangażowanie dr. Grucy w ortodoncji, naprawiający błędy poprzedników
- Doskonałe efekty leczenia ortodontycznego i piękny uśmiech po terapii
- Przyjazna, bezstresowa atmosfera i super podejście personelu
- Dokładne plany leczenia z klarownymi kosztami i terminami
- Pozytywne doświadczenia z dr. Mroczkowskim w leczeniu i wybielaniu
Do poprawy
- Problemy z trwałością leczenia kanałowego i stomatologicznego (pęknięcia, spiłowanie zdrowego zęba)
- Brak pełnego zaangażowania dr. Grucy (kilku pacjentów naraz, minimalny czas na pacjenta)
Idealne dla
Idealny dla pacjentów szukających specjalistycznej ortodoncji i poprawy uśmiechu we Wrocławiu.
Kategorie
Podobne firmy w okolicy

Orto Face - Ortodonta Wrocław
M-dent Magdalena Nadolna-Karpińska

mf.dent STOMATOLOGIA - ortodoncja, Invisalign, protetyka, endodoncja, stomatologia

Prime Dental

Centrum Ortodontyczne OrthoLine Patrycja Downarowicz

Ortodonta OrthoTeam Stomatologia Warmuz - Implanty zębowe
Inne firmy w okolicy
Lekarze Na Szwedzkiej
STÓŁ na Szwedzkiej - studio kulinarne

ENGLISHUP.pl - Szkolenia językowe

Auto24
Tomasz Wrocławski, Psycholog, Suicydolog, Terapeuta Par i Rodzin
POGADAMY logopeda Justyna Surdyga-Mikuła

ŁAPciuch Markowa Odzież Używana Wrocław Strzegomska 206

Złoty Smok Wrocław

Centrum Terapeutyczne FizjoLogia FIZJOTERAPIA | LOGOPEDIA

OneDayClinic
Detektywistyczne Biuro Śledcze sp. z o.o.

Auto Serwis Wrocław
DARODRUK Tonery-Tusze-Serwis Drukarek-Naprawa Drukarek-Kserokopiarek-Ksero-Drukarki-Najem-Sprzedaż-Wrocław

As-Tap Tapicer Wrocław

Akademia Matematyki Infinity Wrocław
Era Motor - przeglądy rejestracyjne, stacja kontroli pojazdów

Darcraft s.c.
Auto Komis RS CARS

ComputerSoft Sp. z o.o. - Agencja E-commerce / Interaktywna Wrocław | Strony i Sklepy Internetowe (PrestaShop, Wordpress)

Solarium GOLD SUN